HOME
Company
About Us
Publications
News
Career
Services
Cancer Genomics Services
NGS Services
Microarray Services
Metabolomics Analysis
Inquire Now
Workshops & Courses
NGS Courses
RNASeq [R]
RNASeq [D]
scRNA-Seq
lncRNA-Seq
miRNA-Seq
PSI-Seq
ChipSeq
ATAC-Seq
scATAC-Seq
Spatial Transcritome
DNASeq
MethylSeq
WGS De-novo Assembly
Targeted metagenomics
WGS Metagenomics
Metatranscriptomics
Other Courses
Microarray
AI & Machine Learning
CRISPR/Cas9
GWAS Program
R Programming
Python and Biopython
Metabolomics
SNAP ChIP
RAD Seq
BICP Industrial Program
BICP-6Months
BICP-12Months
Bioinformatics Internship
Short Term Bio-Info Training
30 Days Program
15 Days Program
7 Days Program
Bioinformatic Resource
NGS Tools Installation
Inquire Now
Inquire Now
Products
GAME v1 (WGS Analysis)
ArrayGen Genome Browser
Bioinformatics Custom Scripts
ArrayGen VarCaller
Sequence Feature Extraction
TGCA Expression Map
ArrayGen Heatmap Generator
Contact Us
News & Updates
16 September, 2025
ArrayGen successfully conducted a workshop at D Y Patil International University, Akurdi, Pune, on Next Generation Sequencing (NGS) technologies and bioinformatics.
ArrayGen would like to extend sincere thanks to Dr. Sidhartha Singh for the kind invitation and for his support in organizing this impactful session at D Y Patil International University.
29 July, 2025
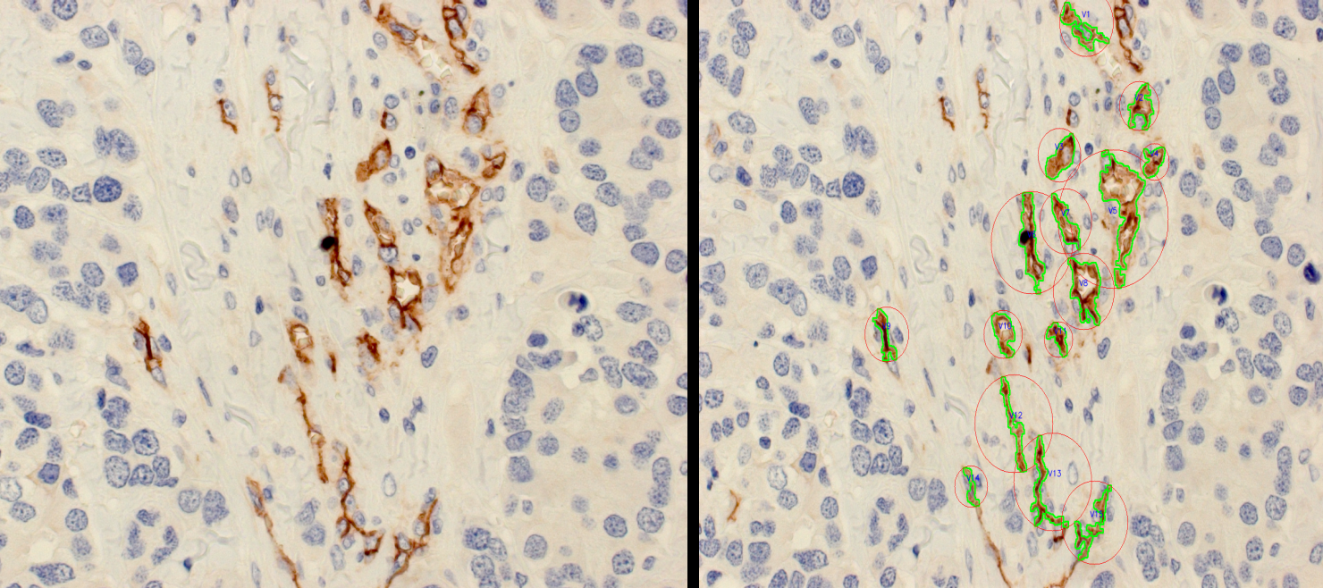
ArrayGen developed algorithms to detect and quantify microvessels in cancer tissue hotspots using color segmentation, morphological filtering, and structural analysis.Thank you Dr. Mashael for trusting ArrayGen !!
16 July, 2025
ArrayGen provide custom training on client own data and helps till publication as well as generates all figures and tables as publication standards thank you Debupriya for trusting ArrayGen !! Wish you all the best for your publication soon !!
16 July, 2025
ArrayGen is global bioinformatics company providing industrial exposure and 100% skills learning NGS and Microarray with advance bioinformatics thank you all for choosing arraygen!! Best Wishes !!
03 January, 2025
ArrayGen technologies PVT LTD welcomes to all bioinformatics 1 st year and 2 nd year student of Patkar Varde College Mumbai for industrial visit. It was our pleasure to provide advance information on industry and how it is different than academy.
02 July, 2024
ArrayGen Technologies PVT LTD provide high quality 100% industrial based bioinformatics internship. ArrayGen provide extensive training which help them to grow their skills. Thank you Rashmi from Elphinstone College Mumbai college for your 30 Days intensive training at ArrayGen.
25 April, 2024
ArrayGen is highly specialized in metabolomic analysis !!! team arraygen thank you.
05 April, 2024
ArrayGen high experienced R programmer team delivered high quality R plots to our global client.
02 April, 2024
ArrayGen successfully delivered high quality publication standards tables and figures for fungal whole genome.
07 March, 2024
Highly interactive Plots delivered to client by ArrayGen Technologies!!
02 July, 2023
Antibiotic resistance genes representation !! ArrayGen develops automate linear gene representation using python script !!
02 July, 2023
Functional Reprosentation using circos !! ArrayGen is highly specialized on NGS data analysis / algorith developemnt/ publication figures/tables
23 March, 2023
Custom Circular Genome Representation for Dr. Nishitha !! ArrayGen is highly expertise in custom bioinformatics data analysis services !!
23 March, 2023
ArrayGen Technologies PVT LTD were Acknowledged in the paper, Congratulations to all team member Shotgun Metagenomic Sequencing of Extremophilic Community from Soda Lake, Gaβar Lake, in Wadi Al-Natrun, Egypt Link: https://www.egyseb.net/fulltext/15-1615314985.pdf?1679592036
23 March, 2023
ArrayGen. Custom array design process [Internet]. [cited 2020 Jan 22]. Available from: https://www.arraygen.com/single-nucleotide-polymorphism.php
17 October, 2022
ArrayGen Technologies Private Limited
actively working on Clinical Data Analysis including survival analysis, cox hazard analysis, and association between comorbidities and other factors. We have performed this analysis on Left Ventricular Hypertrophy (LVH). We thank Dr. Sarah for Trusting ArrayGen & also, for sharing the Data.
Read More
15 September, 2022
ArrayGen Listed in Top Most World Market Research Report list for Best in NGS Services. The Next-Generation Sequencing (NGS) Services Market size is expected to develop revenue and exponential market growth at a remarkable CAGR during the forecast period from 2022β2029.
Next-Generation Sequencing (NGS) Services Market Insights
β’ππ¨π°π§π₯π¨ππ πππ πππ¦π©π₯π πππ©π¨π«π π :-
https://bit.ly/3AIuu2b
29 April, 2022
Complex Cytoscape network were developed by ArrayGen Team. Congratulations to the entire team !!!!
31 March, 2021
We are happy to share the news that we have conducted 7 Days Virtual Workshop for Kashmir University, Jammu from 22nd March 2021 to 31st March 2021
28 August, 2020
We are happy to share you a news that we have launched Arraygen VarCaller GUI Tool which is designed and developed by ArrayGen Technologies Pvt. Ltd.
04 March, 2020
We are happy to share that presently, we are conducting 4 days workshop at VILASRAO DESHMUKH COLLEGE OF AGRIL. BIOTECHNOLOGY college,Latur from 2nd March 2020 to 5th March 2020.
14 February, 2020
Mr. Rajesh Mahato (Arraygen Technologies CEO/Head) was invited as Chief Guest at Sinhagad Institute of Science to share his experience with the students from Sinhagad, Modern and Garware college on the concepts of
Clinical Research Bioinformatics with Hands on workshop session.
30 January, 2020
ArrayGen Technologies Pvt Ltd CEO and founder delivered lead technical talk in Genomics at CIFA, Bhubaneswar
24 January, 2020
Mr.Rajesh Mahato CEO of ArrayGen Technologies Pvt.Ltd. Talks on Genomics Bioinformatics on 20th January to 23rd January 2020 at SOM University, Bhubaneswar.
16 January, 2020
Successfully Completed!!! Bioinformatics Internship provided at Arraygen to the students of Shri Shivaji Science College, Amravati.
29 August, 2019
Happy to announce that Arraygen hosted a guest lecture in βSINHAGAD INSTITUTE OF SCIENCEβ Pune, on 29th august Presented by Mrs. Deepika Kulshreshtha. And we will further conducting more to enhance the knowledge of bioinformatics amongst students. Happy to SERVE!!!
22 June, 2019
ArrayGen Technologies collaborated with bioinformaticshub for providing all arraygen genomics and workshop/training services as well as for custom advanced bioinformatics algorithm development.
25 May, 2019
ArrayGen Technologies Pvt Ltd were acknowledged in paper publication https://www.sciencedirect.com/science/article/pii/S0888754318306554 Congratulation to all as well as thank you Dr. Akinola for trust with ArrayGen quality bioinformatics analysis. We look forward many more in future. Thank you
15 April, 2019
ArrayGen would like to thanks Patkar college Mumbai for sending their students for Bioinformatics INDUSTRIAL VISIT TO ArrayGen and we were happy to help and make students practical approach inmicroarray and NGS. Thank you all !!!!
19 December, 2018
ArrayGen Technologies Pvt.Ltd has successfully conducted Next Generation Sequencing workshop in Kuwait from 12th December 2018 to 19th December 2018 at Faculty of medicine
16 November, 2018
ArrayGen officially collaborated with WD Alkther Medical Co. Ltd, Sudan for all bioinformatics services in Sudan. We thank you to Dr. Ahmed for initiating complete bioinformatics introducing in Sudan. ArrayGen will be happy to serve to provide quality services and its growth in Sudan.
19 July, 2018
Whole-Genome Sequencing and Annotation of a Drug-Resistant Extrapulmonary Clinical Isolate of Beijing Genotype Mycobacterium tuberculosis from Pune, India
07 July, 2018
We are happy to sharing News that we have conducted two days workshop at VILASRAO DESHMUKH COLLEGE OF AGRIL. BIOTECHNOLOGY college,Latur from 4th July 2018 to 5th July 2018.
01 May, 2018
Congratulations to Dr. Swarupa Hatolkar & Mr. Rajesh Mahato, CEO & Founder for the second authorship and acceptance of whole genome sequencing and assembly Mycobacterium tuberculosis strain LJ338. For the complete reference please visit at https://www.ncbi.nlm.nih.gov/nuccore/CP029326.
06 April, 2018
Congratulations to Dr. Swarupa Hatolkar & Mr. Rajesh Mahato, CEO & Founder for the second authorship and acceptance of whole genome sequencing and assembly Mycobacterium tuberculosis strain CAS. For the complete reference please visit at https://www.ncbi.nlm.nih.gov/nuccore/CP028428.
06 February, 2018
Congratulations to Dr. Swarupa Hatolkar & Mr. Rajesh Mahato, CEO & Founder for the authorship and acceptance of whole genome sequencing and assembly Mycobacterium tuberculosis strain LJ319. For the complete reference please visit at https://www.ncbi.nlm.nih.gov/nuccore/CP026742.
01 November, 2017
Arraygen welcomes Dr. Gaston Zolla from Israel for quality training in bioinformatic.Welcome Dr.Gaston Zolla to India .
01 July, 2017
ArrayGen welcomes Dr Ahmed M from Sudan for future bioinformatics collaboration in Sudan. Thank you Dr. Ahmed we look forward to make strong collaboration to introduce Bio informatics in Sudan.
28 November, 2016
ArrayGen Technologies Pvt Ltd successfully conducted 15 days Hand's on training in NGS at BAIF, pune, India
19 July, 2016
ArrayGen Technologies Pvt Ltd launches India's First Genome Browser NGS Tool !! The browser runs with very smoothly with larger genome files and supports many file formats VCF, BED, GTF, GFF, BAM. Please visit at https://lnkd.in/fy8JUEp to download the software. For more information please visit below link -
ANG Genome Browser...Read More